3DL//Smile-Lynx
| Secteur d'activité | Dentaire |

Ultra-rapide |
Nombreux Tutoriels |
Système Ouvert |
|
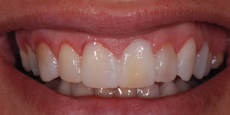
Seulement 2 photos sont nécessaires pour développer un projet et en moins de 10 minutes, le professionnel dentaire est prêt à émerveiller son patient avec les photos «avant» et «après».
|
Le logiciel vous guide pas à pas dans la réalisation de l’aperçu photographique du nouveau sourire du patient.
Le didacticiel vidéo en ligne vous montrera comment vous déplacer dans l'application. Des cours en ligne sont disponibles pour s'améliorer rapidement. |
L'outil d'étalonnage, inclus avec l'achat à vie, est utile pour positionner la tête du patient pendant la séance photographique et c'est l'outil de référence pour convertir les pixels en mm et travailler avec des mesures réelles à l'intérieur du logiciel.
|


